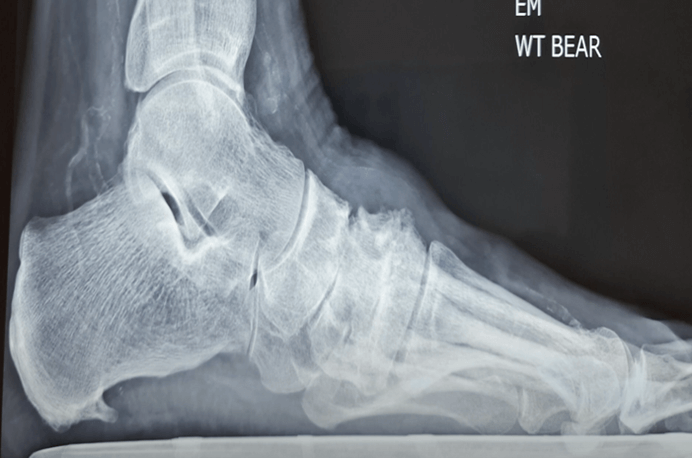
What is Dorsal Midfoot Exostosis?
A dorsal midfoot exostosis is a painful bony growth that develops on the top of the foot, specifically at the metatarso-cuneiform joint (top of the arch). This condition often presents as a noticeable bump that can cause discomfort, especially when wearing enclosed footwear.
Signs and Symptoms of Dorsal Midfoot Exostosis
You will generally notice the dorsal midfoot exostosis growing over time – you may notice a hard, raised bump on the top of the foot. While the bony growth itself may not always be painful it can cause pain by rubbing on shoes, formation of wounds/skin breakdown constant redness and swelling in the area.
Common symptoms include:
- Difficulty wearing enclosed shoes due to pressure on the bony prominence.
- Redness, swelling, and pain from friction against footwear.
- Nerve irritation leading to tingling, aching, or a “pins and needles” sensation in the foot and toes.
- Deep aching pain after weight-bearing activities in severe cases.
Causes of Dorsal Midfoot Exostosis
Several factors can contribute to the development of dorsal midfoot exostosis, including foot structure and mechanical issues:
- Over-pronation (flat feet): Excessive mobility in the first metatarsal can lead to bony irritation at the midfoot joint and subsequent bone growth.
- High-arched feet (supination): A higher metatarsal angle/high arch profile can create a prominence at the top of the foot and therefore increasing susceptibility.
- Long-term irritation: Wearing tight footwear, previous foot injuries, or repetitive trauma can trigger bone growth in the affected area.
Treatment Options
Conservative treatments ca help to reduce your symptoms which may include footwear modifications, orthotics and a corticosteroid injection which may provide temporary relief.
Surgical Methods?
If conservative treatments fail to provide adequate relief, surgical removal of the bony prominence may be considered. Surgery aims to eliminate the exostosis and restore comfort and mobility.
Surgery will generally involve one of a few options depending on your presentation:
- Midfoot arthroplasty
- Midfoot arthrodesis/fusion
Midfoot arthroplasty (most commonly performed)
- This surgery is performed under general anaesthesia.
- A small incision (approximately 5cm) is performed at the top of your midfoot (usually it is the second or third metatarsocuneiform joint).
- The bone spurs/exostosis and damaged cartilage is removed creating a smooth surface on the top of the foot/joint. By removing the bone from this area and joint it will create a a gap helping to avoid any compression/rubbing of the opposing bone surfaces.
- Care is taken to prevent damage to healthy tendons, ligaments or nerves of the foot during the surgery.
- This procedure can only be performed for only some joints. Other midfoot joints are with joint arthritis are corrected with another procedure which will involve fusing the 2 bones together.
- How long does it take to recover from exostosis surgery?
- Approximately you will be able to treutn to normal physical activities at 8-12 weeks after surgery. Recovery may be longer if your surgery was more extensive. You may have some swelling in the foot for 3-6 months after surgery.
Midfoot arthrodesis/fusion:
- The surgery is performed under general anaesthesia.
- An incision is performed at the top of your midfoot or area of the joints to be operated
- The arthritis surfaces/bone are removed and prepared for fusion
- A bone graft is usually used to fill in area to assist in the fusion process. The arthrodesis/fusion is then performed with various implants including screws, metal implants or plates.
- You will be required to be non weight bearing in a CAM boot, back slab or cast for 8 weeks with this type of procedure. This is a crucial component of this phase of the healing process, during which time bone is slowly growing across the fusion site(s).
Post Operative Surgical information:
- Midfoot arthroplasty:
- Week 1-2: Patients will be wearing a protective postoperative sandal for 2 weeks after the surgery. Rest, ice, elevation, taking post-operative pain medications. You won’t be able to drive and should be moving around for 10- 15 minutes each hour. You will attend post-operative appointments to change your dressings and review your foot. You will need to keep the foot/dressings clean and dry.
- Week 2-4: The sutures and. dressings will be removed and you will transition into a well supported jogger style shoe. You can bear weight for longer periods of time but still avoiding physical activity. You will be able to get the foot wet. You will be able to stand for longer periods of time and resume gentle walking. You need to make sure the shoes have enough room to avoid any rubbing on the surgery site.
- Week 4-8: You will be able to return to gentle unrestricted activity depending on the level of comfort. You will be required to elevate, rest and ice the area during this period of time.

Figure 2: Animation depicing the bone spur/exostosi removed after the procedure

Figure 3: Intraoperative picture showing the joint arthritis, cartliage wear and bone spurs at the joint.

Figure 4: Intra-operative picture showing the exostosis/bone spurs cleaned up, a smooth bone surface and a gap between the two bones.