Preserving Motion with a Decompression Osteotomy in Sydney
Sydney Podiatric Surgery – Specialist Podiatrist
When pain or stiffness develops in your big toe joint, even simple movements like walking or climbing stairs can become uncomfortable. This condition — known as hallux limitus or hallux rigidus — affects the first metatarsophalangeal (MTP) joint and is one of the most common causes of arthritic pain in the forefoot. At Sydney podiatric surgery we provide advanced, joint-preserving treatments that aim to reduce pain, restore movement, and sometimes avoid the need for fusion. One of the most effective procedures for suitable patients is a decompression osteotomy.
What Is Hallux Limitus or Rigidus?
Hallux limitus refers to restricted motion of the big toe joint, especially when the toe bends upward during walking. Over time, as the condition worsens and joint cartilage deteriorates, it can progress to hallux rigidus, where movement becomes almost completely restricted.
Common symptoms include:
- Pain and stiffness at the base of the big toe
- Swelling and inflammation
- Difficulty wearing shoes or walking uphill
- Bone spurs or “lump” on top of the joint
- Pain during physical activity
Causes of Hallux Limitus and Rigidus
For this particular patient, she had an incident of trauma (post traumatic arthritis) years ago which accelerated the arthritic changes in the joint. She had loose bone fragments and associated spurring of the joint. Several other factors can contribute to this degenerative joint condition, including:
- Structural abnormalities (e.g. long or elevated first metatarsal)
- Repetitive stress or trauma to the big toe
- Previous injury or fracture
- Osteoarthritis or inflammatory joint disease
- Family history or biomechanical imbalance
Surgical Options for Hallux Rigidus in Sydney
In cases where conservative care such as orthotics, footwear modification, or anti- inflammatory therapy has not provided relief, surgical intervention may be recommended. This patient did not want her toe fused as she was told by other specialists and she wanted a procedure in which we could keep the motion of the joint.
A few main surgical approaches include:
- Joint Fusion (Arthrodesis): Effective for severe arthritis, but eliminates movement in the big toe joint.
- Decompression Osteotomy: A joint-preserving option that relieves pressure and restores motion.
- Capsular interpositional arthroplasty: A joint preserving procedure which involves interposing part of the joint capsule/body natural tissue in the joint and restoring the motion in the joint.
What Is a Decompression Osteotomy?
A decompression osteotomy involves making a surgical cut in the first metatarsal bone to slightly shorten or lower it. This reduces joint jamming during movement, alleviating pain and improving flexibility. During the procedure, your we may also remove bone spurs (cheilectomy) and smooth the joint surfaces to enhance mobility and comfort.
Benefits of decompression osteotomy include:
- Preservation of natural joint motion
- Reduction in pain and stiffness
- Improved gait and comfort
- Faster recovery compared to fusion
- Delayed or prevented progression to severe arthritis
Recovery After Decompression Osteotomy
Following hallux rigidus surgery, patients typically can immediately weight bear in a postoperative shoe for several weeks while the bone heals. We then introduce exercises to help with the ROM of the joint and build up the strength of the toe/foot.
Most patients experience:
- Significant pain relief within weeks
- Improved toe movement
- Return to normal footwear and daily activities within a few months

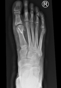
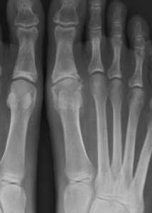
Figure1 and 2: Pre op x-rays showing joint degenerating including joint space narrowing, bone spurs and loose bone fragments.

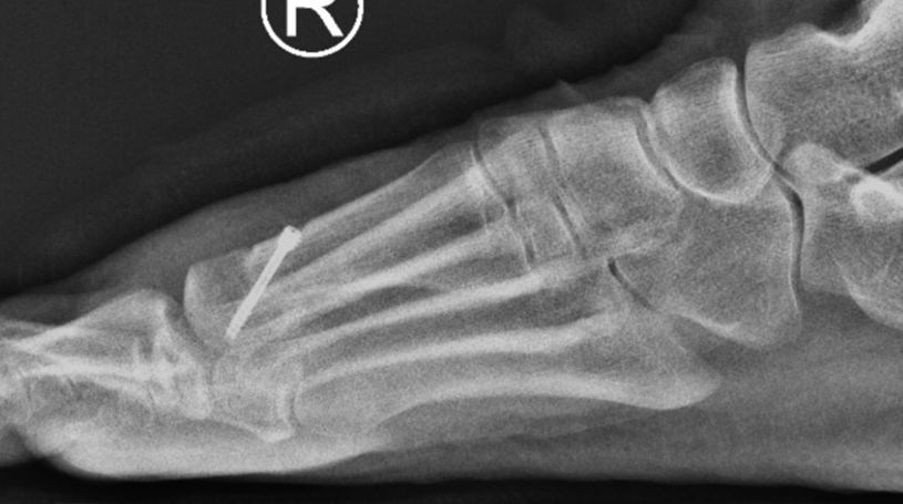
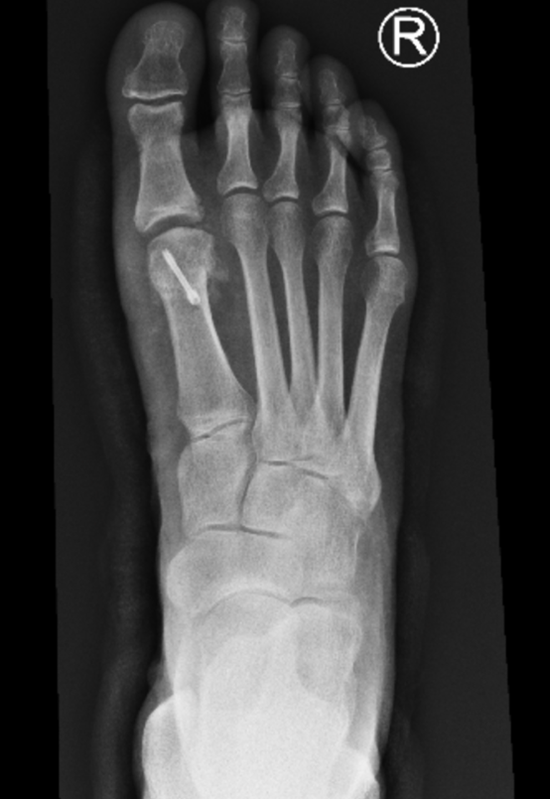
Figure 2: Post op x rays showing the joint remodelled (spurs removed) and the decompression osteotomy/bone cut allowing for improved joint motion

Figure 3: Post operation ROM, previously unable to bend the toe without any pain.